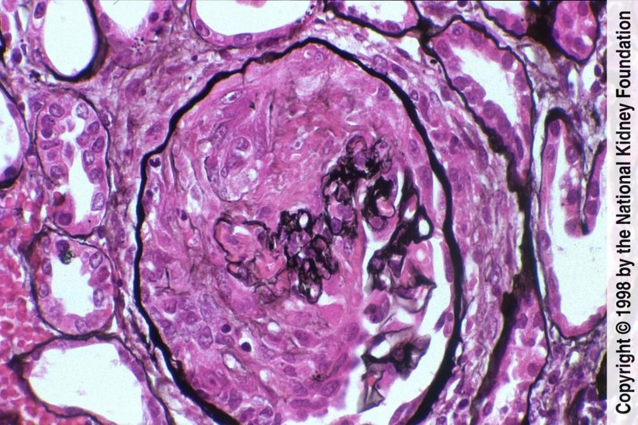
Rasch progrediente Glomerulo- nephritis (pauci-immun)
Die Pauci-Immunerkrankung ist durch Halbmondbildung mit fibrinoider Nekrose und negativer Immunfluoreszenzfärbung gekennzeichnet (Jones-Silberfärbung, ×400).
Image provided by Agnes Fogo, MD, and the American Journal of Kidney Diseases' Atlas of Renal Pathology (see www.ajkd.org).
In diesen Themen
