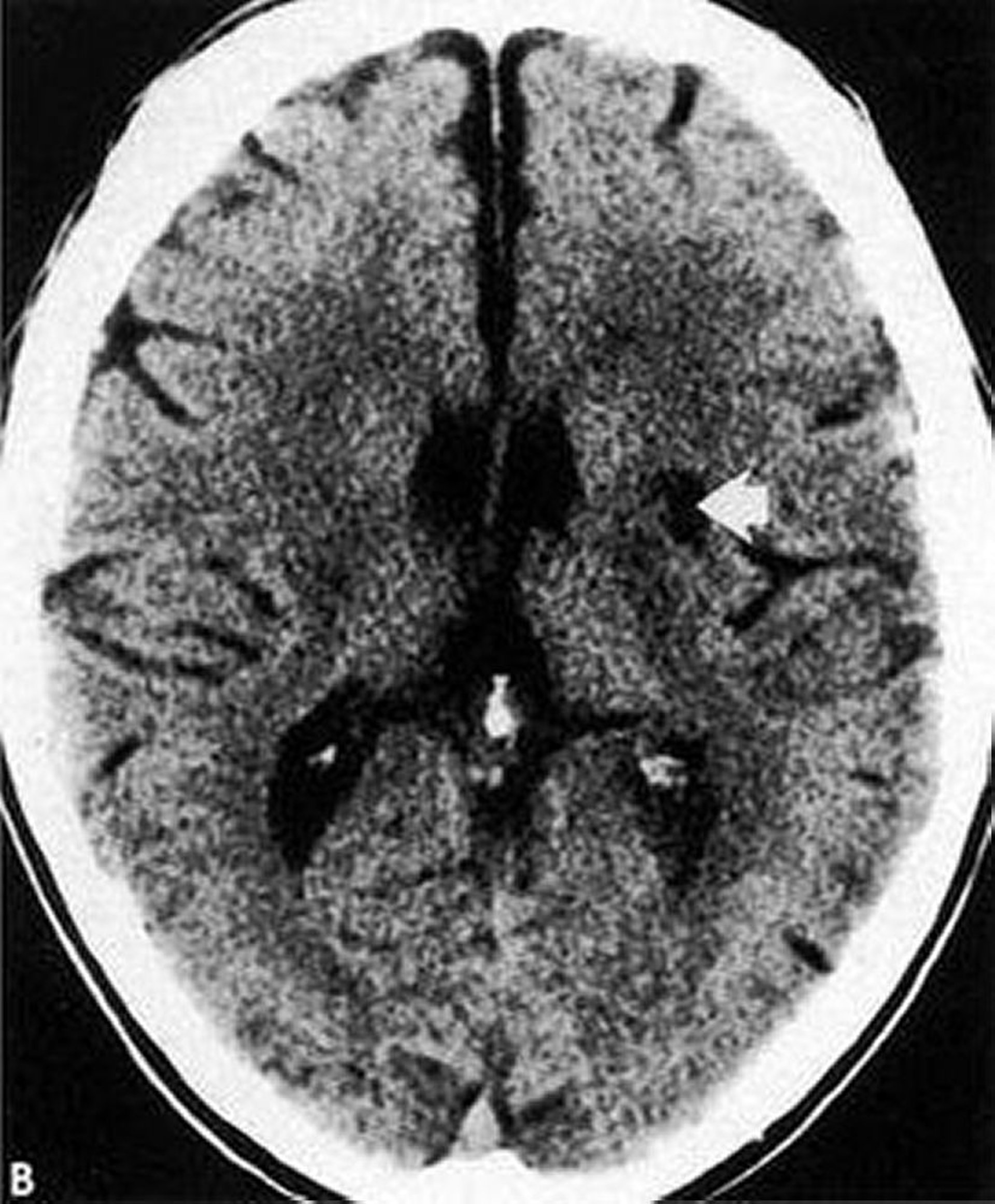
Lakunärer Infarkt
Diese CT-Aufnahme zeigt einen gut definierten lakunären Infarkt (Pfeil) mit geringer Dichte innerhalb der Basalganglien.
By permission of the publisher. From Geremia G, Greenlee W. In Atlas of Cerebrovascular Disease. Edited by PB Gorelick and MA Sloan. Philadelphia, Current Medicine, 1996.
In diesen Themen
