Tràn dịch màng phổi – Nhiều
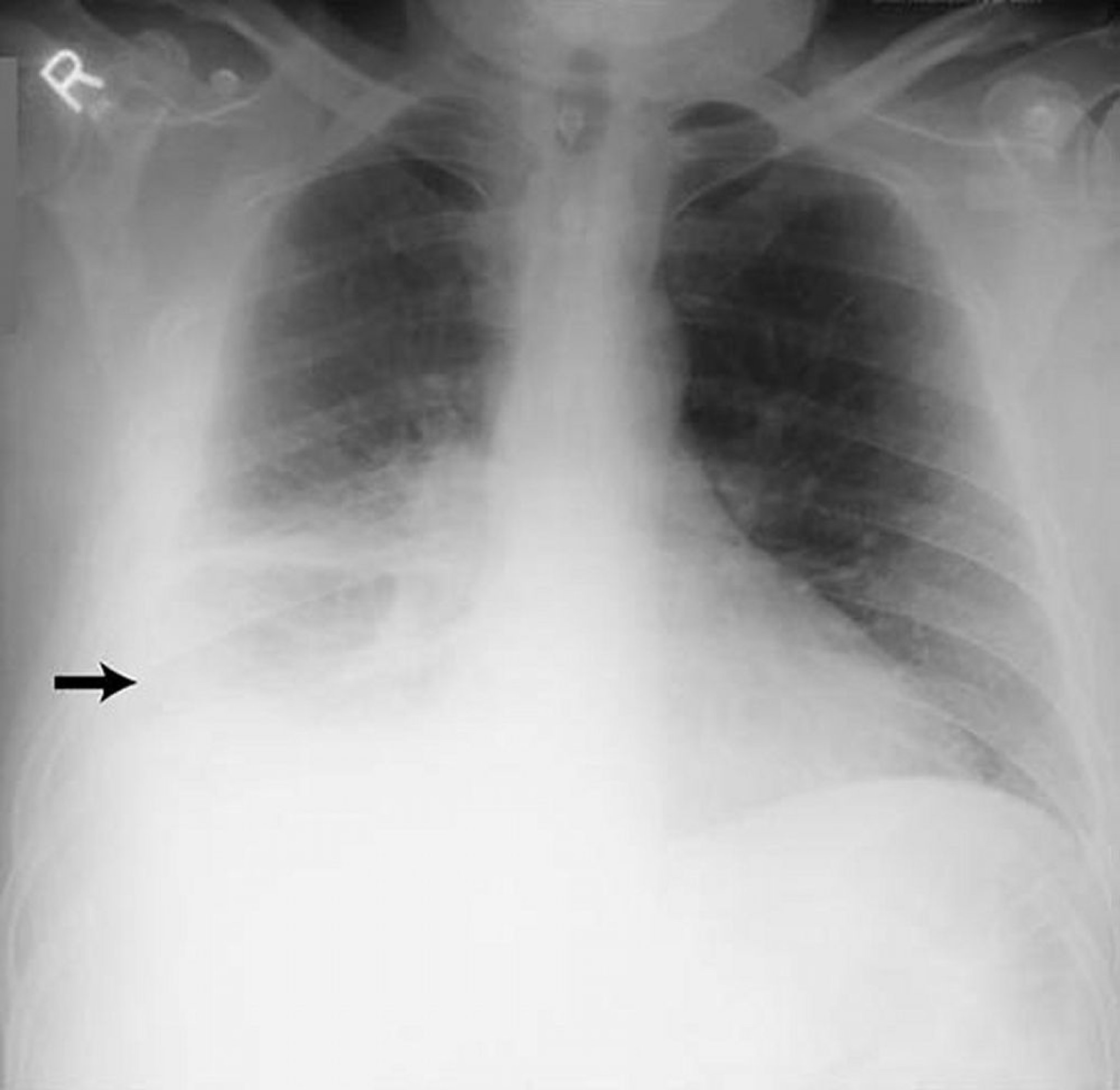
Hình ảnh này cho thấy tràn dịch lớn ở màng phổi bên phải (mũi tên) trên bệnh nhân bị viêm màng phổi dạng thấp.
Được sự cho phép của nhà xuất bản. Theo Huggins J, Sahn S. Trong Bone's Atlas of Pulmonary and Critical Care Medicine. Biên tập bởi J Crapo. Philadelphia, Current Medicine, 2005.
Trong các chủ đề này
