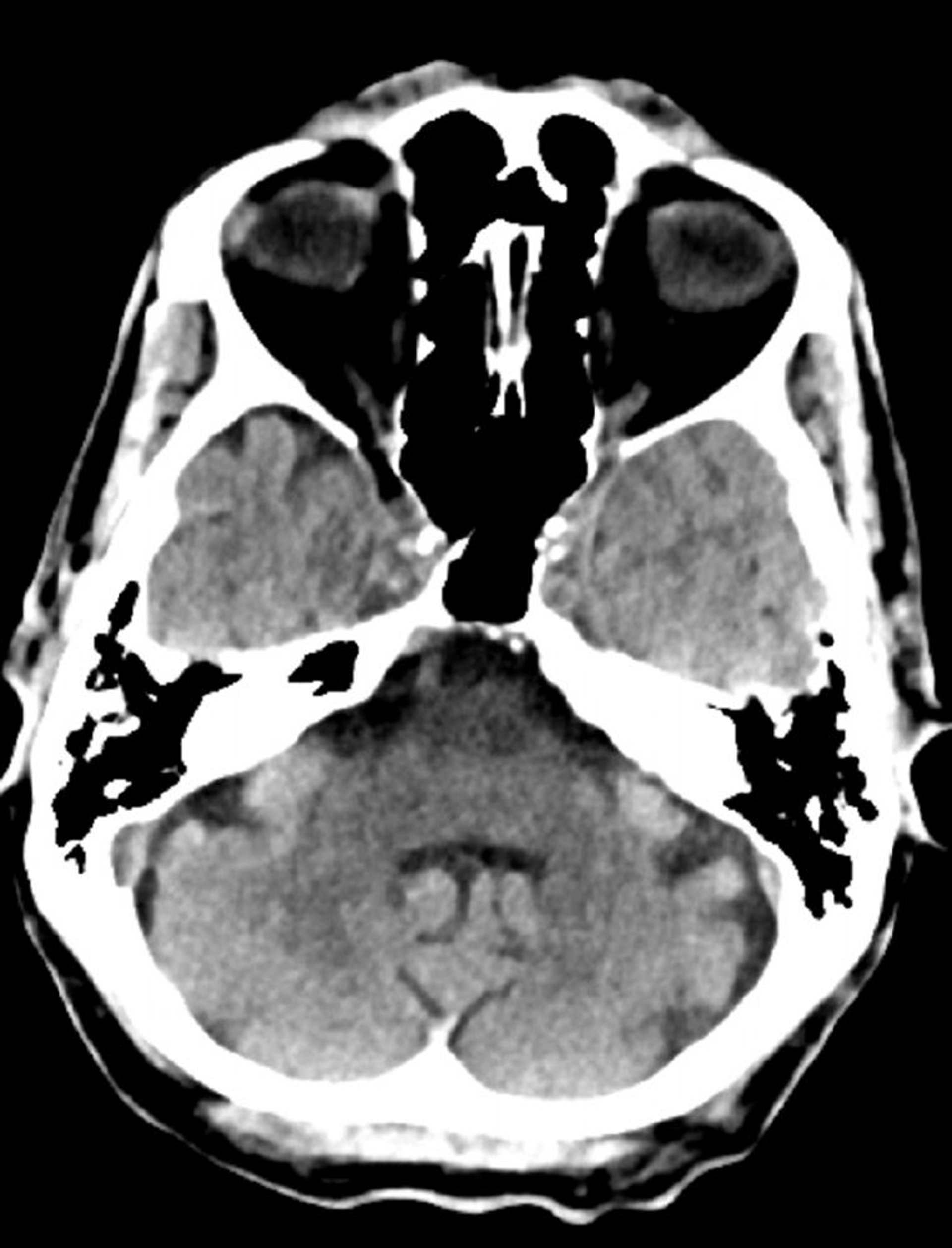
Chụp CT đầu bình thường (người lớn, 74 tuổi) – Lát cắt 8
Hình ảnh này là hình ảnh chụp CT đầu bình thường của một người lớn 74 tuổi. Khi so sánh với chụp CT đầu của một người 30 tuổi bình thường, các não thất và các khe lớn hơn. Những dấu hiệu này là bình thường ở nhóm tuổi này.
© 2017 Bác sĩ Elliot K. Fishman.
Trong các chủ đề này
