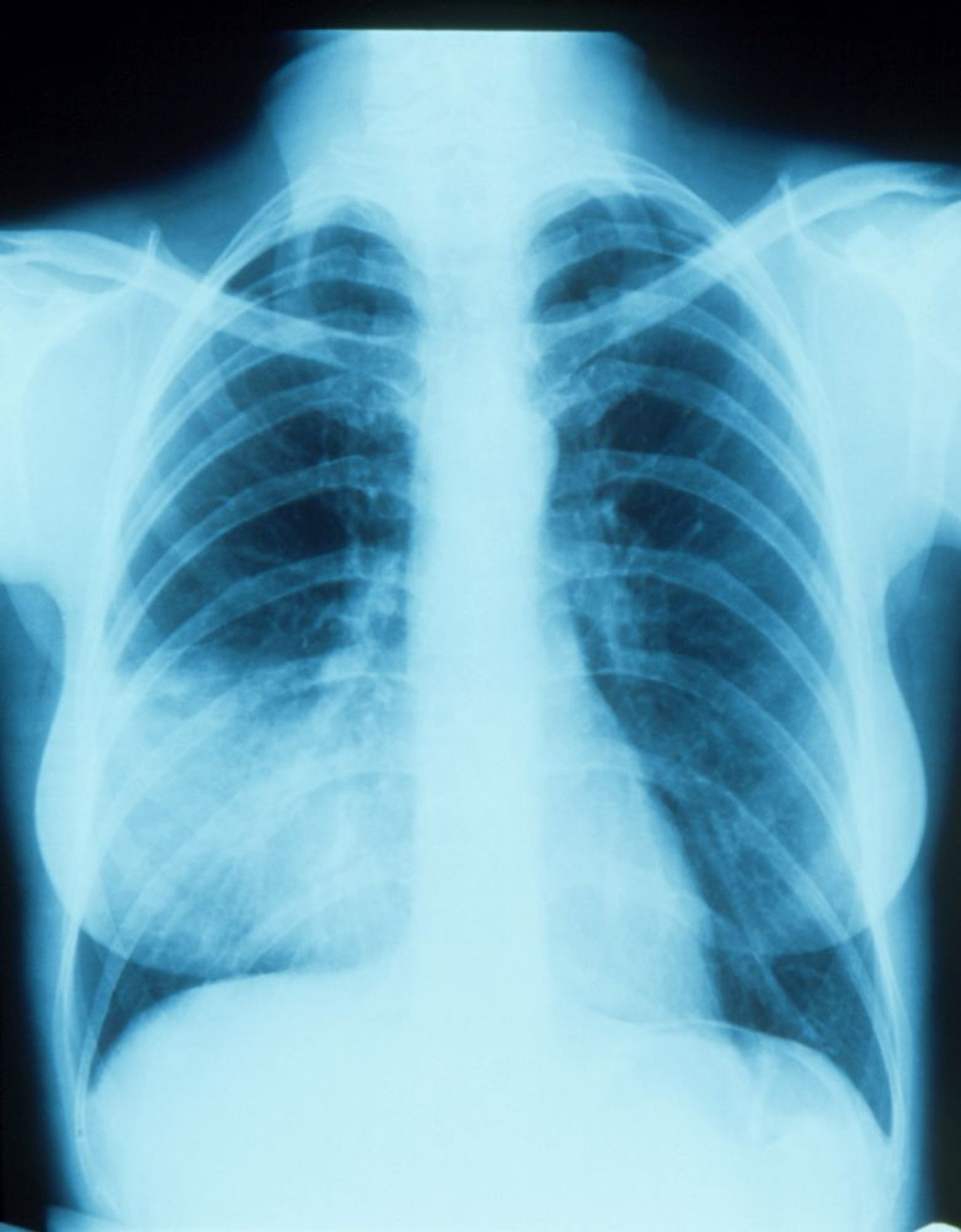
Pneumonia do lobo direito médio com sinal da silhueta
Essa radiografia do tórax mostra um infiltrado que parece se mesclar com a borda cardíaca direita (sinal da silhueta). O sinal da silhueta indica posicionamento contíguo das 2 estruturas com radiodensidades semelhantes; a parte do pulmão contígua com a borda direita do coração é o lobo médio direito, de modo que é a parte que apresenta infiltrado e pneumonia.
SCIENCE PHOTO LIBRARY
Nesses tópicos
