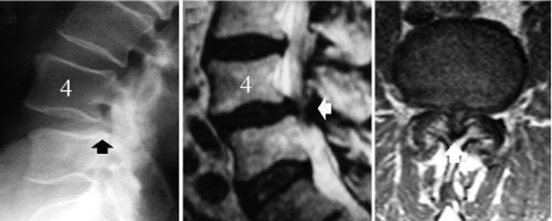
Stenosi spinale lombare causata da spondilolistesi degenerativa di L4-L5
L'immagine a sinistra è una radiografia di profilo della colonna lombare che mostra lo scivolamento della vertebra L4 (freccia nera, il bordo posteriore del corpo vertebrale L5 non è allineato con quello di L4). L'immagine al centro è una scansione RM sagittale mediana che mostra la compressione delle strutture nervose (freccia bianca). L'immagine a destra è una scansione RM assiale che mostra una grave stenosi spinale al livello della spondilolistesi degenerativa, L4-5 (freccia bianca).
© Springer Science+Business Media
In questi argomenti
