RX torace (protesi valvolare cardiaca)
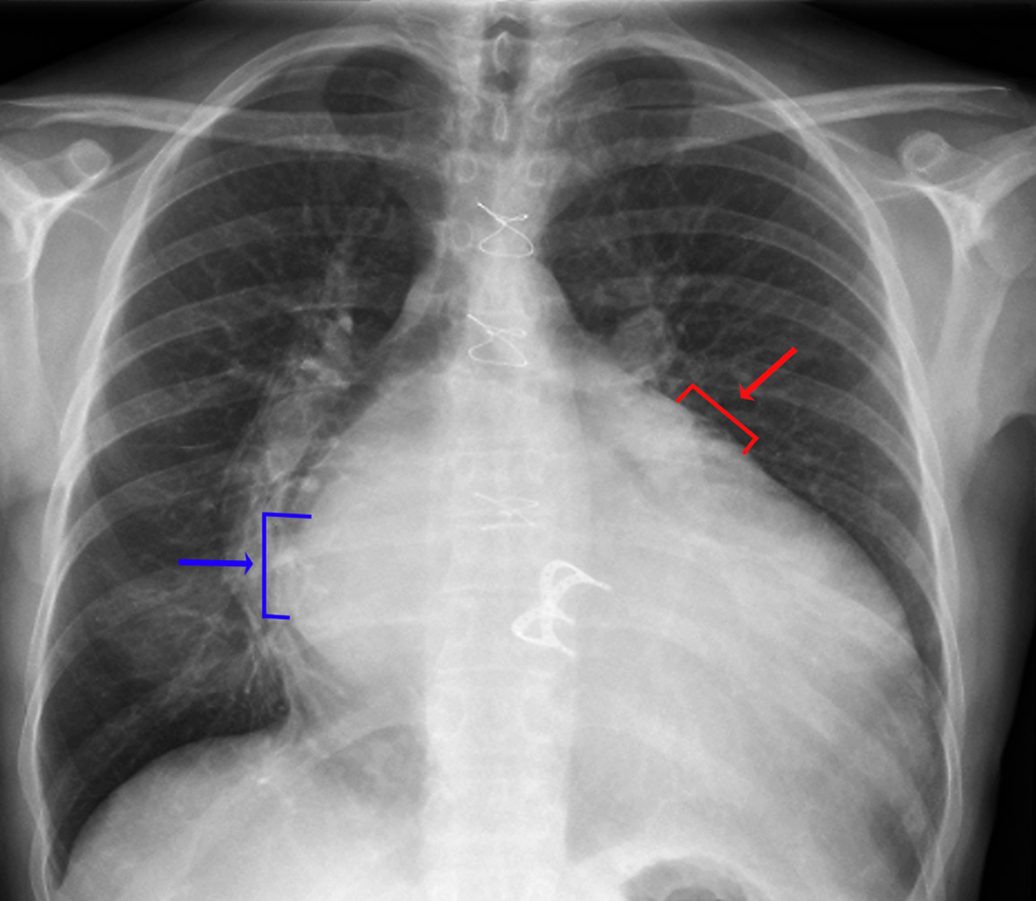
I segni di aumento del volume atriale sinistro comprendono una densità visibile dell'atrio sinistro nell'emitorace destro (freccia blu, segno della doppia densità), una maggiore (> 7 cm) distanza tra il bordo atriale sinistro nell'emitorace destro e il bronco principale sinistro, una convessità lungo il margine superiore sinistro del cuore causata da un ingrossamento dell'auricola sinistra (freccia rossa), e un allargamento della carena con un'aumentata separazione tra i bronchi principali destro e sinistro. I segni di ingrandimento del ventricolo sinistro comprendono un ingrandimento della silhouette cardiaca e uno spostamento del margine verso la sinistra e il basso del margine sinistro del cuore.
ZEPHYR/SCIENCE PHOTO LIBRARY
In questi argomenti
