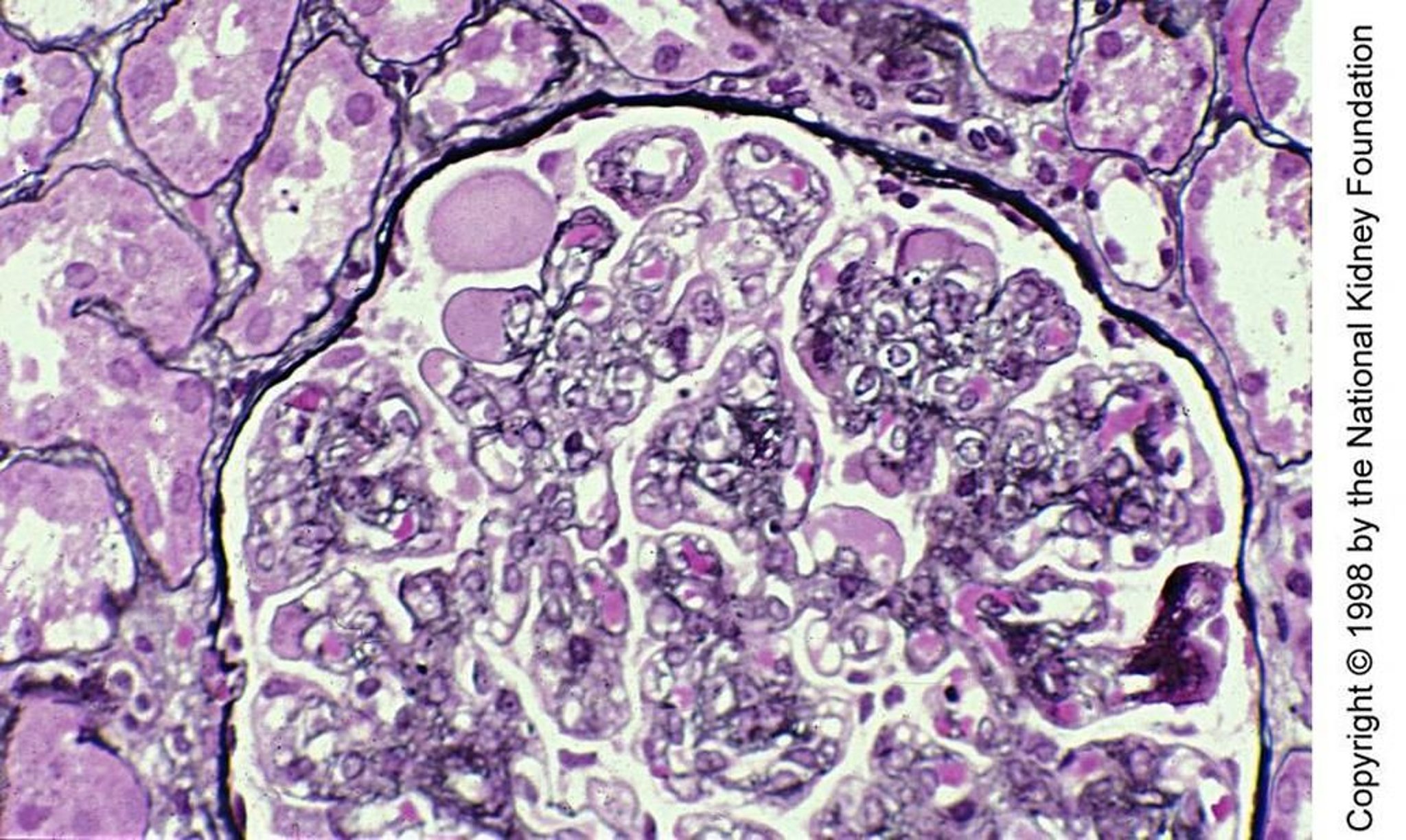
Glomerulonefrite membranoproliferativa mediata da immunoglobuline/immunocomplessi
Nella glomerulonefrite membranoproliferativa mediata da immunoglobuline/immunocomplessi, la deposizione cronica di immunocomplessi (prevalentemente di C3 e IgG o IgM) attiva il complemento attraverso la via classica all'interno delle pareti dei capillari glomerulari e del mesangio. Ne risulta una proliferazione mesangiale, l'ispessimento della membrana basale glomerulare (GBM), l'interposizione del citoplasma delle cellule mesangiali tra la membrana basale glomerulare e la cellula endoteliale, e la glomerulosclerosi che porta all'insufficienza renale. L'ispessimento della membrana basale glomerulare (GBM) è qui visibile con doppi contorni (colorazione all'argento di Jones, ×400).
Imagine fornita da Agnes Fogo, MD, and the American Journal of Kidney Diseases' Atlas of Renal Pathology (vedi www.ajkd.org).
