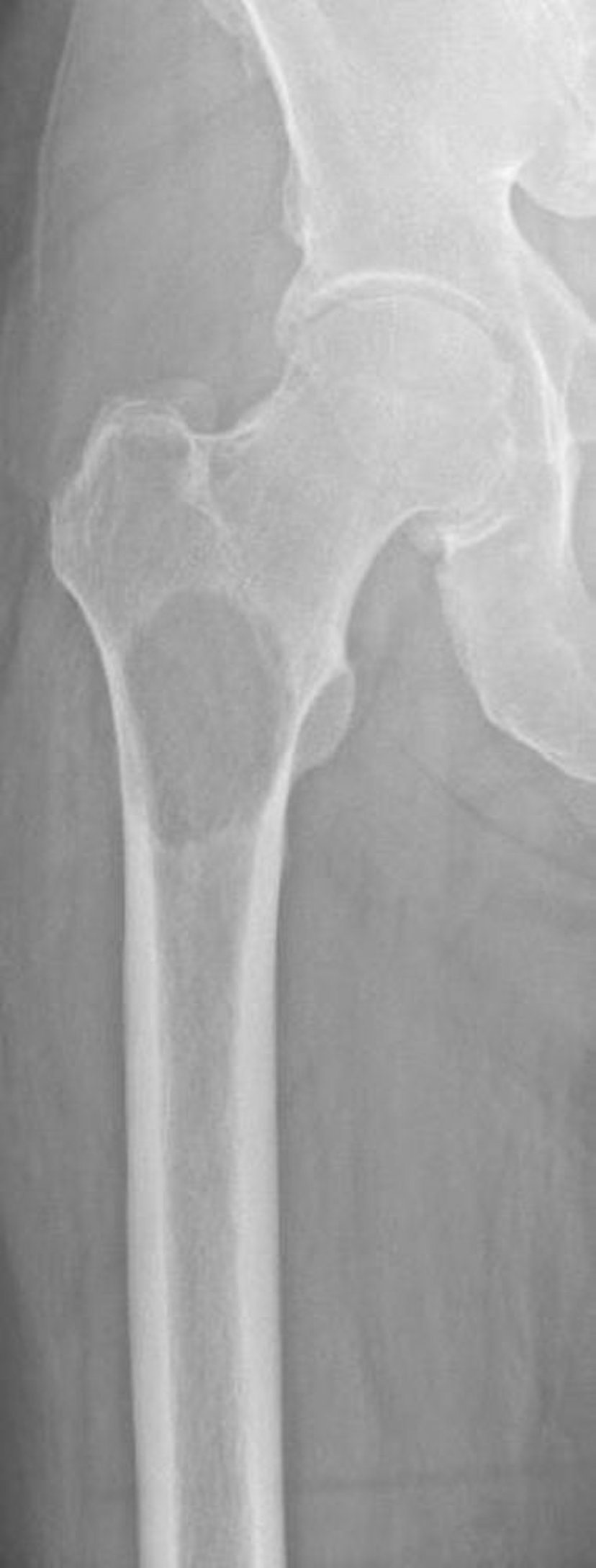
Metástasis líticas en el fémur proximal
Esta imagen muestra destrucción ósea debido a una metástasis secundaria a carcinoma de células renales en el fémur proximal. La ubicación y el grado de destrucción ósea hacen que el riesgo de fractura sea extremadamente alto (fractura inminente).
Image courtesy of Michael J. Joyce, MD, and David M. Joyce, MD.
En estos temas
