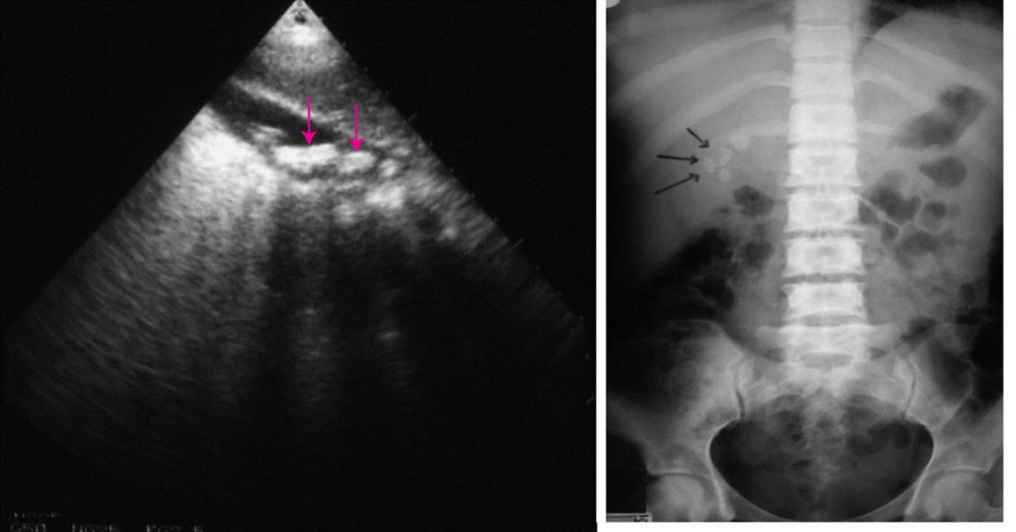
Imágenes abdominales (cálculos biliares)
A la izquierda, una ecografía abdominal que muestra múltiples cálculos biliares (flechas). A la derecha, una radiografía simple de abdomen que muestra cálculos biliares radiopacos (flechas).
© Springer Science+Business Media
