Derrame pleural extenso
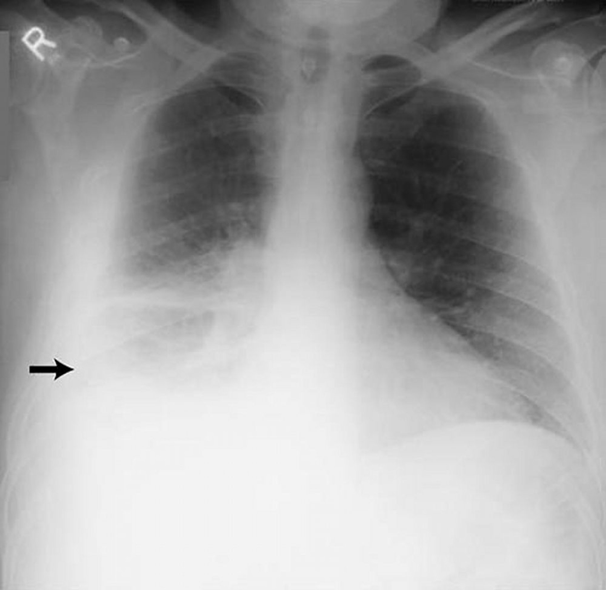
Esta imagen muestra un derrame pleural derecho extenso (flecha) en un paciente con pleuritis reumatoide.
By permission of the publisher. From Huggins J, Sahn S. In Bone's Atlas of Pulmonary and Critical Care Medicine. Edited by J Crapo. Philadelphia, Current Medicine, 2005.
En estos temas
