Напружений пневмоторакс
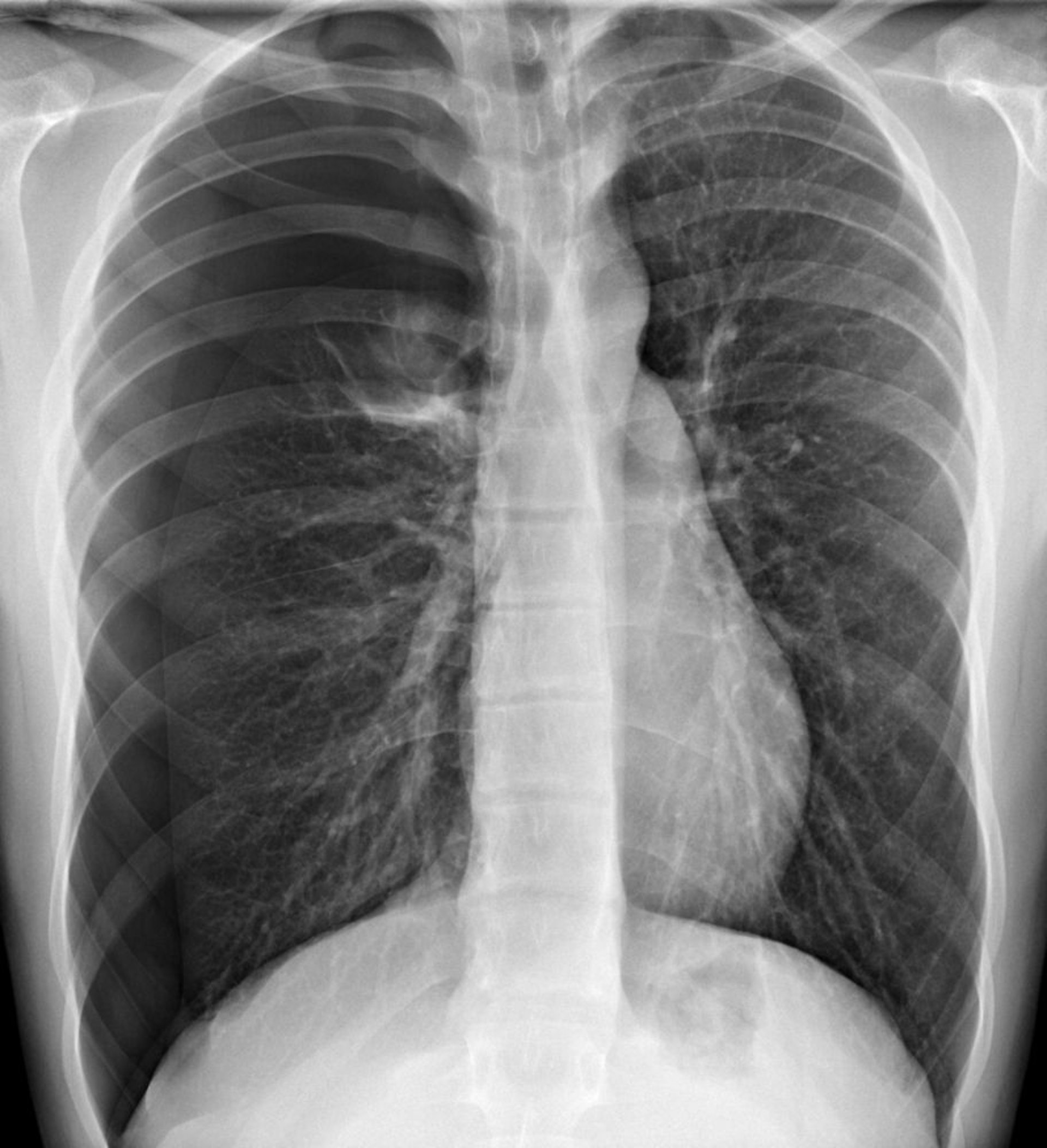
На цьому зображенні видно пневмоторакс у правій половині грудної клітки, де на периферії відсутній легеневий малюнок. Зсув серця та середостіння ліворуч може викликати фізіологічні зміни, характерні для напруженого пневмотораксу. Проте напружений пневмоторакс слід діагностувати на підставі клінічних даних, а очікувати рентгенологічного підтвердження.
DU CANE MEDICAL IMAGING LTD / НАУКОВА ФОТОБІБЛІОТЕКА
Серед цих тем
