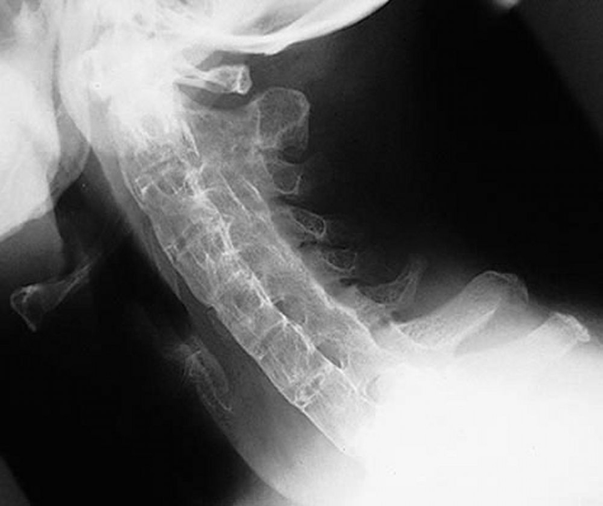
Colonna vertebrale a bambù nella spondilite anchilosante
Questa proiezione laterale della colonna cervicale mostra una colonna cervicale rigida in un paziente con spondilite anchilosante grave e di lunga data. La colonna vertebrale è completamente anchilosata ("colonna a canna di bambù") a causa dei sindesmofiti, della fusione delle faccette articolari (apofisarie) e delle calcificazioni legamentose paraspinali.
By permission of the publisher. From Asim Khan M: Atlas of Rheumatology. Edited by G Hunder. Philadelphia, Current Medicine, 2005.
In questi argomenti
