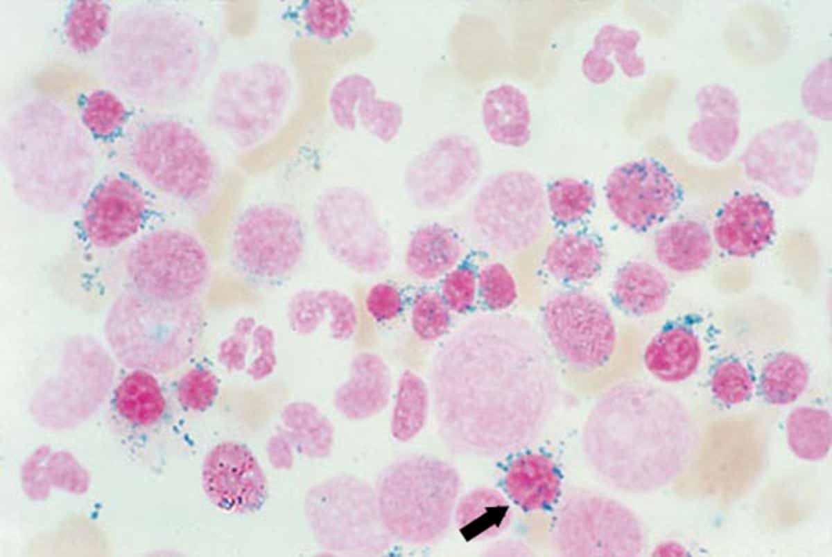
Sidéoblastes en anneau dans l'anémie sidéroblastique
Dans l'anémie sidéroblastique, des sidéroblastes en couronne (en anneau) sont observés dans la moelle osseuse (flèche). Les sidéroblastes en anneau sont des précurseurs érythroïdes dont les mitochondries (situées autour du noyau) sont chargées de fer non héminique.
By permission of the publisher. From Tefferi A, Li C. In Atlas of Clinical Hematology. Edited by JO Armitage. Philadelphia, Current Medicine, 2004.
Dans ces sujets
