Ostéosarcome
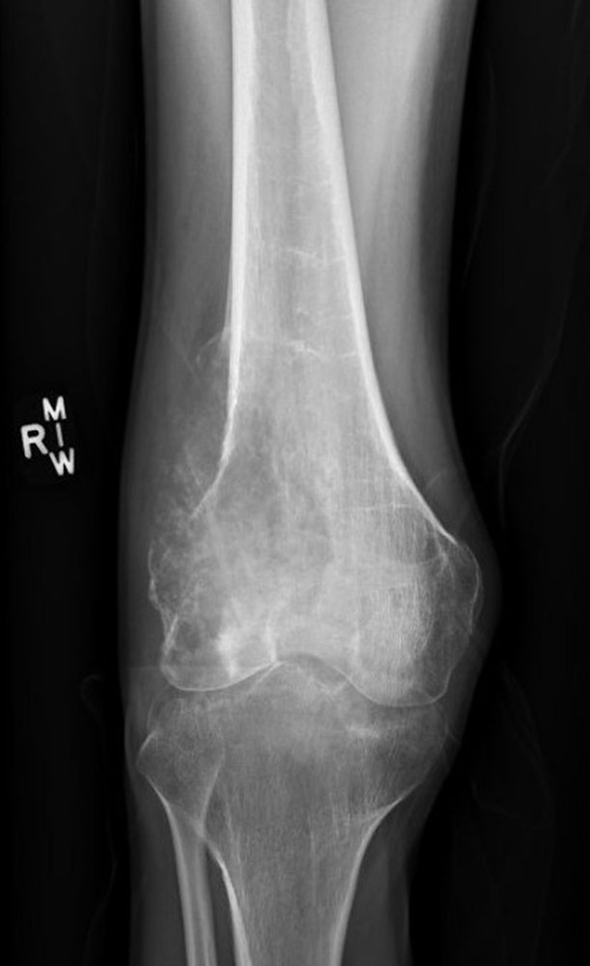
Cette radiographie du genou montre un ostéosarcome destructeur du fémur au-dessus du genou, à aspect lytique destructeur, avec un triangle de Codman classique montrant un soulèvement périosté pathologique.
Image courtesy of Lukas Nystrom, MD.
Dans ces sujets
