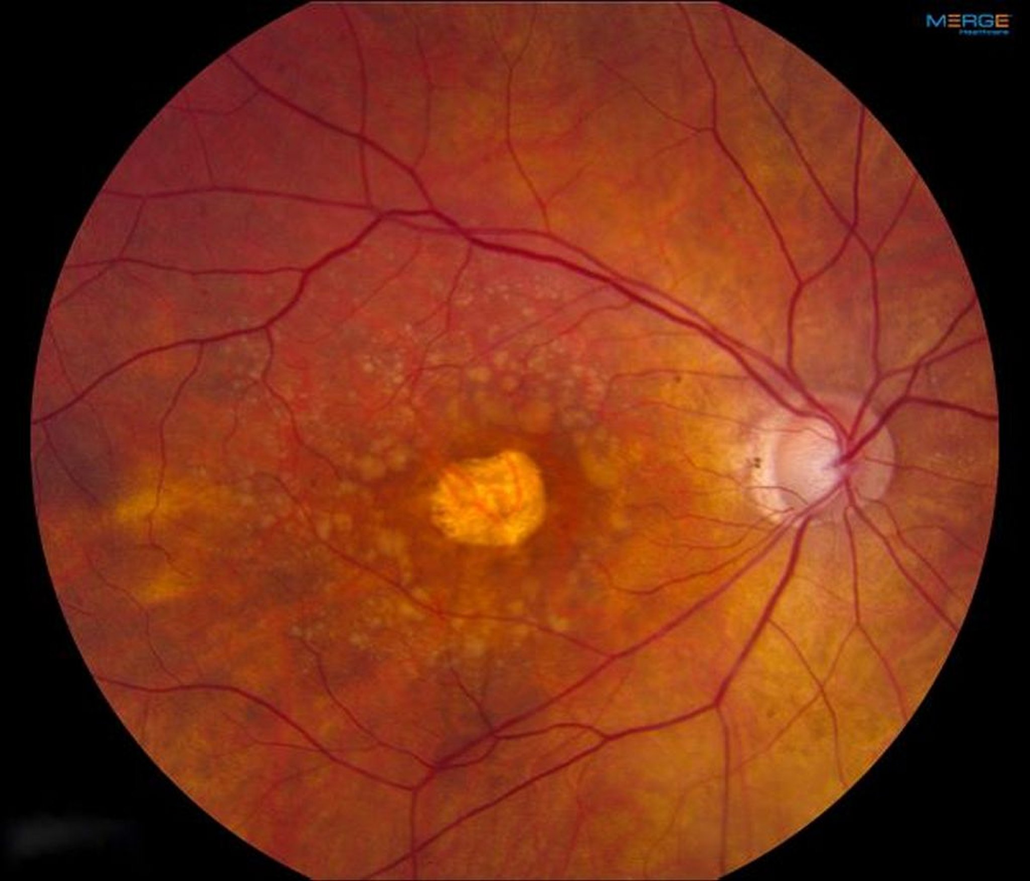
Degeneración macular relacionada con la edad (seca, avanzada)

Degeneración macular relacionada con la edad (seca, avanzada)

Con el tiempo, algunos ojos desarrollan atrofia central del epitelio pigmentario de la retina y los fotorreceptores. Esto puede provocar una pérdida significativa de la visión central, que es característica de la degeneración macular asociada con la edad avanzada.

Imagen proporcionada por Sunir Garg, MD.