Subfalcine Herniation
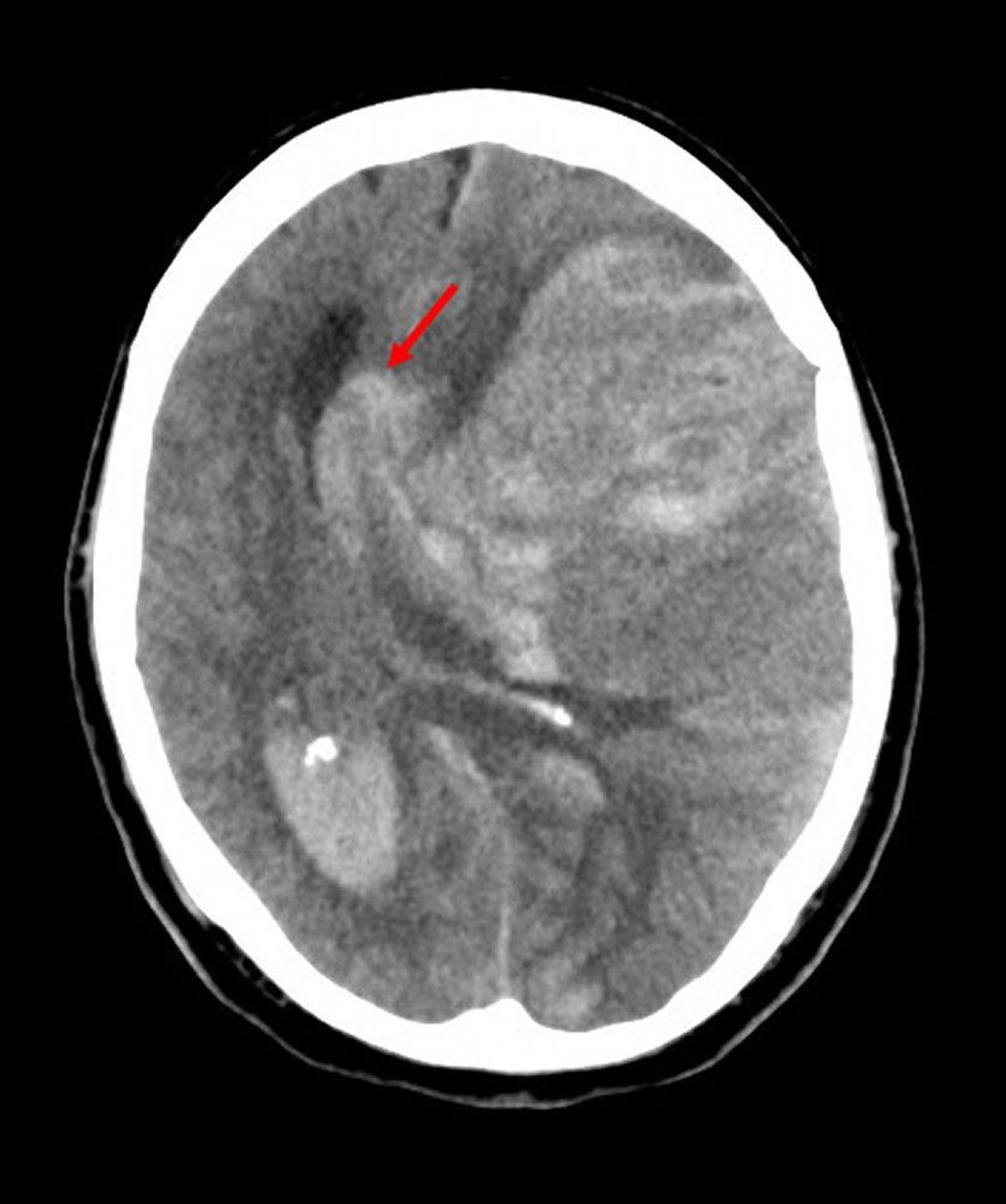
Subfalcine herniation is the most common type of cerebral herniation. In this image, the left brain has herniated under the free edge of the falx cerebri (arrow) because hemorrhage from an infarct in the middle cerebral artery has increased intracerebral pressure.
© 2017 Elliot K. Fishman, MD.
In these topics
