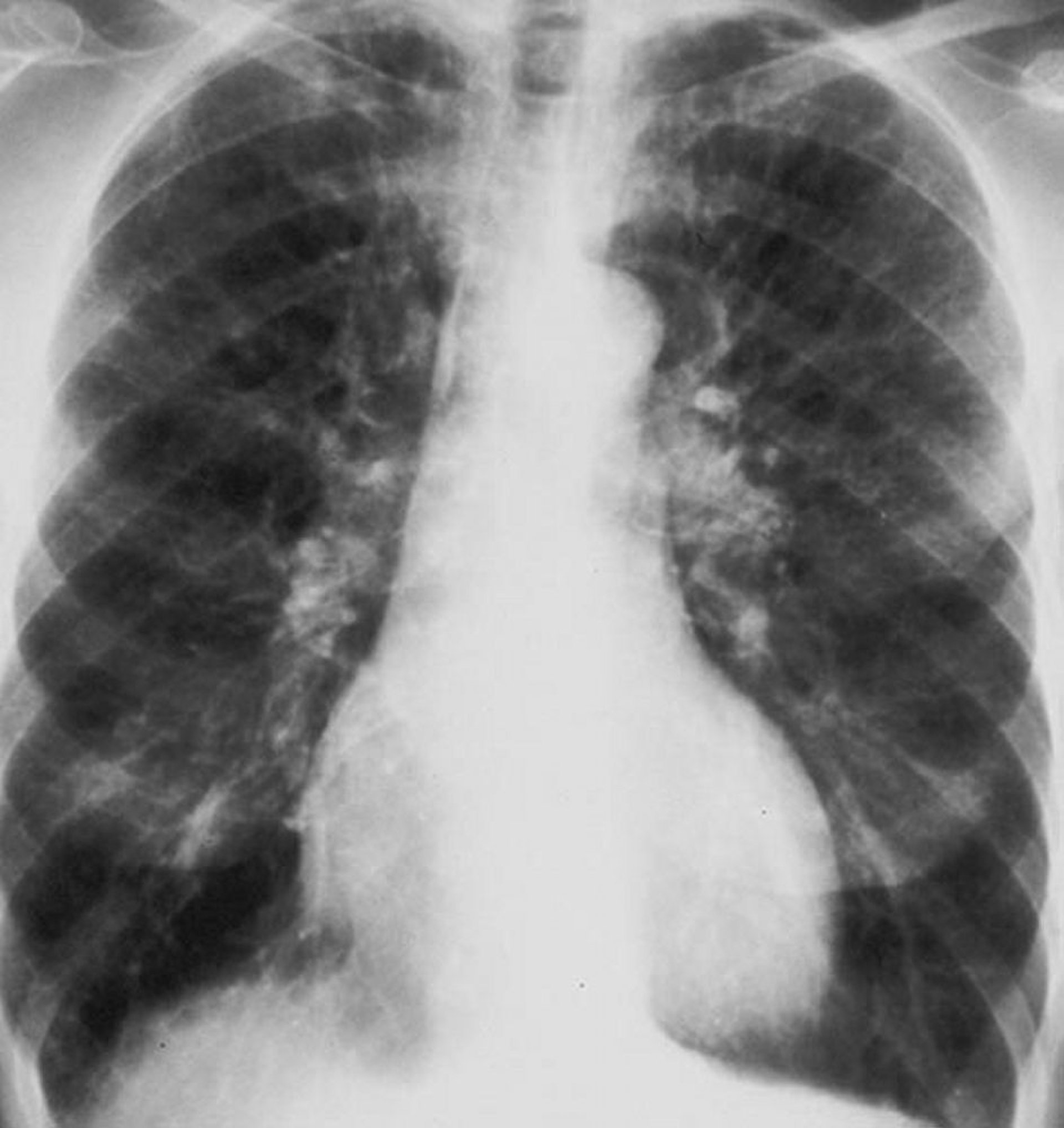
Bronchopneumopathie chronique obstructive (BPCO) (radiographie du thorax)
Radiographie thoracique d'un patient atteint de bronchopneumopathie chronique obstructive (BPCO). Les poumons sont en hyperinflation, le diaphragme est aplati, les lignes vasculaires sont augmentées et la dimension du cœur est légèrement augmentée.
By permission of the publisher. From Barnes P. In Bone's Atlas of Pulmonary and Critical Care Medicine. Edited by J Crapo. Philadelphia, Current Medicine, 2005.
Dans ces sujets
